Estetinis dantų plombavimas Vilniuje

Kas yra estetinis plombavimas?

Siekiant išsaugoti kuo daugiau sveikų danties audinių,bet atkuriant dantų formą, spalvą, dydį, skaidrumą ir taisyklingą padėtį dantų lanke dažnai į pagalbą pasitelkiamas estetinis plombavimas. Naujausios plombavimo medžiagos gali padėti džiaugtis gražia ir sveika šypsena per trumpą laiką .Toks plombavimas dažniausiai atliekamas vienam ar visiems priekiniams dantims, rečiau – krūminiams dantims.

Ar Jums reikalingas estetinis plombavimas?

Ši procedūra rekomenduojama tiems, kurių dantys yra praradę natūralią išvaizdą arba ta išvaizda Jūsų netenkina t. y.

  • pažeisti ėduonies,
  • pakeitę spalvą,
  • nudilę,
  • netaisyklingai sudygę
  • dėl traumų yra įskilę, nuskilę ir pan.

Atsiradę tokie trūkumai gali tapti sumažėjusio kramtymo efektyvumo, sukandimo problemų, savaiminio nudilimo, dantų jautrumo problemų priežastymi. Kiekvieno pacientas yra skirtingas todėl ir jo atvejis yra individualus. Mūsų klinikos specialistai gydymo būdus parenka konsultacijų metu.

Kiek trunka estetinio plombavimo Vilniuje procedūra?

Prieš procedūrą Jums paskiriamas individualus laikas konsultacijai odontologijos klinikoje City-Dent , kurios metu įvertinama esama padėtis ir Jūsų lūkeščiai. Vieno vizito metu galima atstayti iki 6 dantų, tuomet procedūra gali užtruktų apie 4 – 5 valandas.
Po dantų restauracijos būtina grįžti pas odontologą po 2 savaičių. Pakartotinio vizito metu įvertinami rezultatai. Esant poreikiui atliekama korekcija.

Po estetinio plombavimo procedūros

Nesijaudinkite jei po estetinio plombavimo procedūros jausitės keistai.  Dėl pakitusios dantų formos ar tarpdančių užpildymo gali šiek tiek pasikeisti kai kurių garsų tartis. Kartais pasireiškia dantenų maudimas, paraudimas ar valantis dantis – kraujavimas. Dažnai išryškėja nevienoda plombuotų dantų spalva dėl procedūros metu naudojamos nelaidžios apsaugos. Tai yra laikina ir išsisprendžia dantims vėl prisigerus drėgmės. Prisitaikymas prie pasikeitimų trunka iki dviejų savaičių. Retais atvejais kiek ilgiau. Ilgalaikė dantų priežiūra nesiskiria nuo kasdienių įpročių – rytinių/vakarinių dantų valymų minkštu dantų šepetėliu ir pasta be granulių (vengiant abrazyvo), tarpdančių valymo siūlu ir tarpdančių šepetėliu. Taip pat rekomenduojama 1-2 kartus per metus atlikti estetiškai plombuotų dantų poliravimą ir profesionaliąją burnos higieną.

Estetinį plombavimą odontologijos klinikoje City-Dent atlieka Gintarė Kacėnaitė

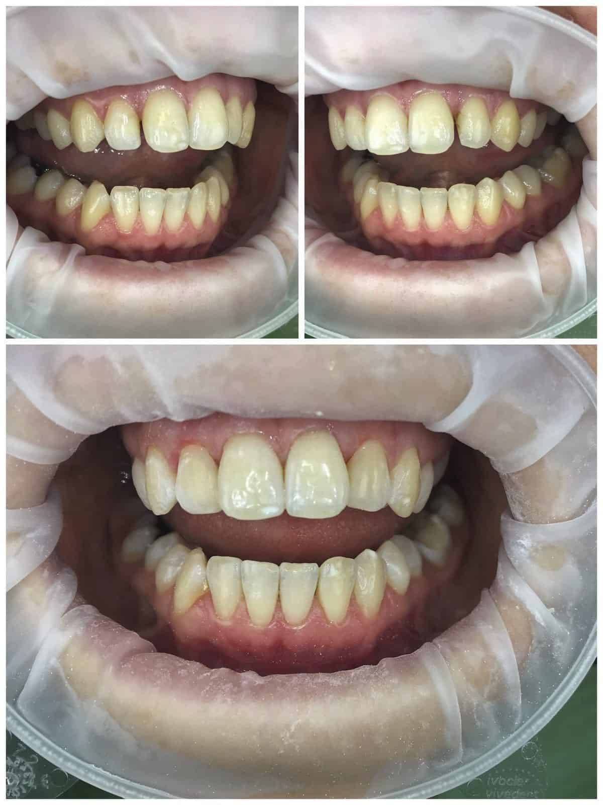
Estetinio plombavimo pavyzdžiai atlikti odontologijos klinikoje City-Dent

DUK

1. Ar atliekant estetinį plombavimą reikia šlifuoti dantis?

Tai viena tausojančiausių procedūrų. Dažniausiai danties audiniai nėra šlifuojami arba šlifuojami minimaliai (tik paviršiaus pašiurkštinimui), siekiant geresnio sukibimo. Tai leidžia išsaugoti jūsų natūralų danties gyvybingumą ir audinius, tiesiog pakoreguojant jų formą ar spalvą.

2. Ar estetiškai plombuoti dantys atrodys natūraliai?

Taip, tai pagrindinis šios procedūros tikslas. Gydytojas naudoja sluoksniavimo techniką, derindamas skirtingo skaidrumo ir atspalvio kompozicines medžiagas. Taip tiksliai atkuriamas natūralus danties reljefas, blizgesys ir spalva, todėl restauruotas dantis vizualiai niekuo nesiskiria nuo jūsų tikrų dantų.

3. Ar reikalinga speciali priežiūra po estetinio plombavimo?

Estetiškai plombuoti dantys reikalauja reguliaraus poliravimo, kad išlaikytų blizgesį ir nekauptų pigmento. Rekomenduojame atvykti poliravimui (dažniausiai kartu su burnos higiena) kas 6 mėnesius. Taip pat rekomenduojama vengti itin kieto maisto kandimo priekiniais dantimis, kad medžiaga nenuskiltų.

4. Kiek laiko tarnauja estetinis plombavimas?

Vidutiniškai estetinės restauracijos tarnauja 5–7 metus, tačiau gerai prižiūrint gali laikyti ir ilgiau. Didelis privalumas tas, kad prireikus korekcijos (pvz., atsiradus nuskilimui ar nusidėvėjimui), plombos nebūtina keisti visos – ją galima lengvai pataisyti ar papildyti to paties vizito metu.